Home / Composite Bonding

Composite Bonding

Get Your Perfect Smile in Pakistan

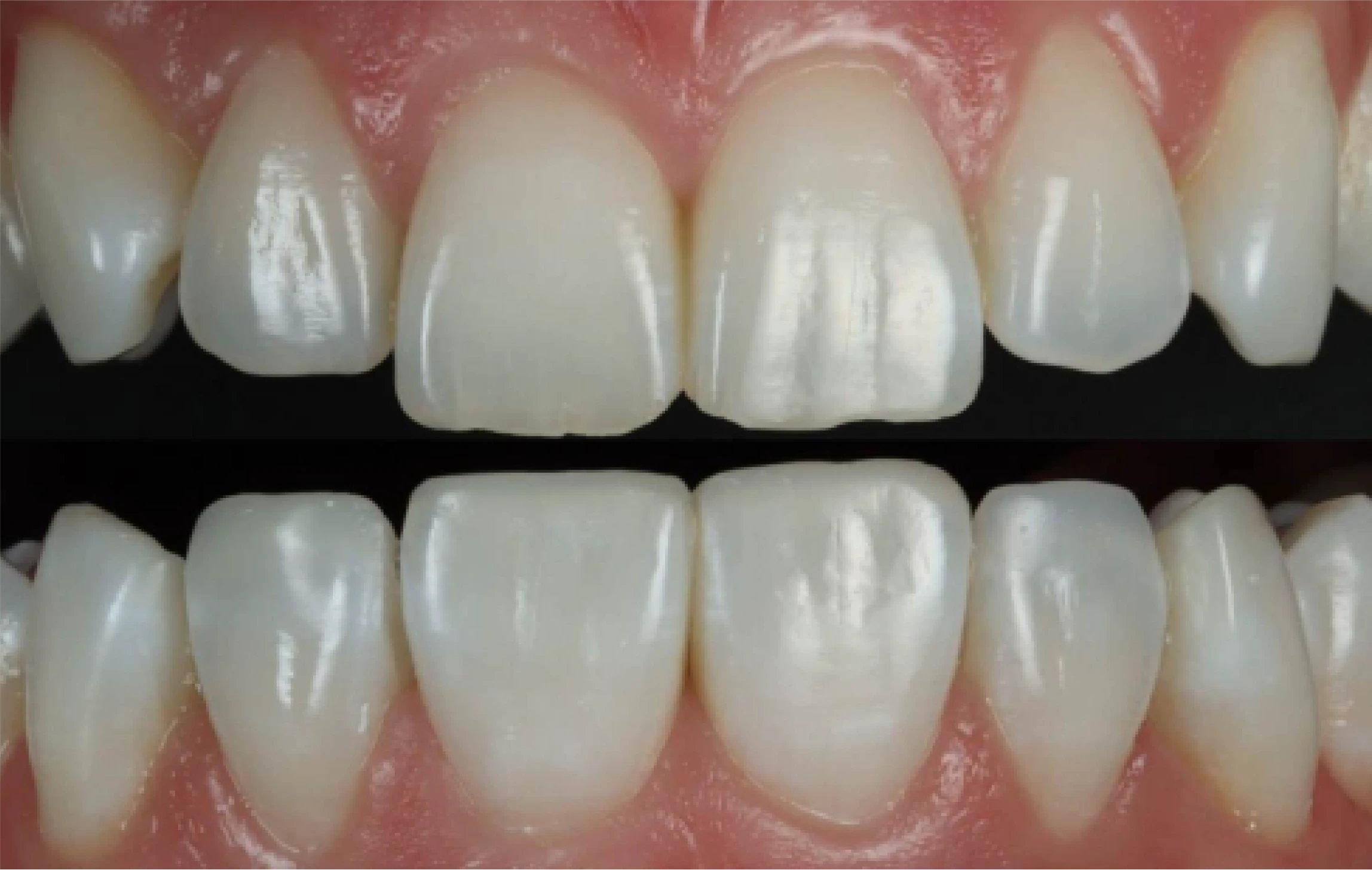
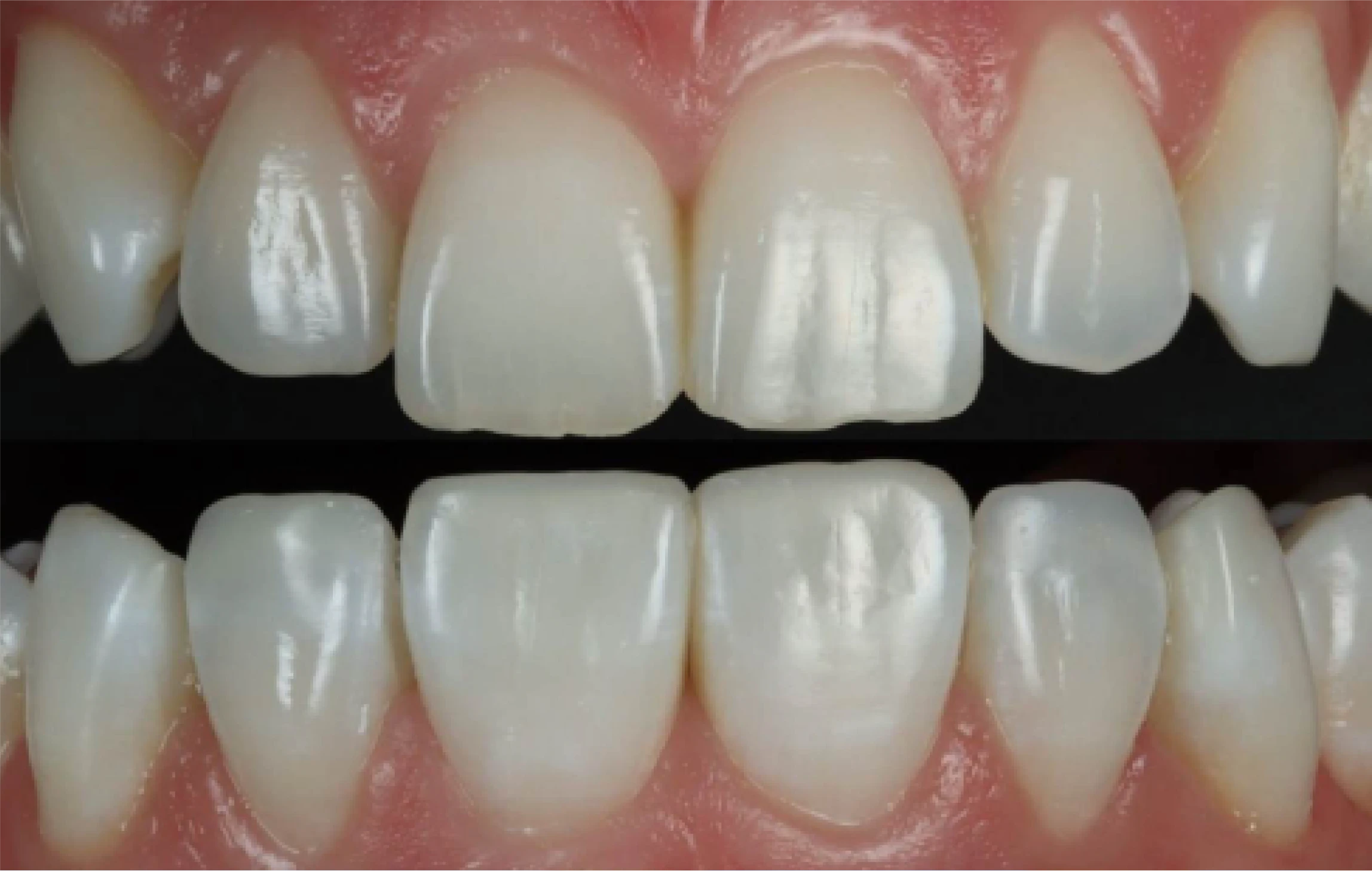
Composite bonding is a popular new way to improve your smile. This technique, already trending in the West and the USA, is now available in Pakistan, and we are proud to be among the pioneers in offering the best composite bonding services in pakistan. We understand that a beautiful, confident smile can make all the difference.

Crafting Remarkable Smiles at Dental Aesthetics

At Dental Aesthetics, our cosmetic dentists are experts in applying tooth-coloured resin materials, allowing them to expertly alter the shape, size, and colour of your teeth. Dental bonding offers a variety of minimally invasive solutions for achieving your ideal smile, including gap sealing, fracture masking, and creating the perfect tooth shape.
Composite bonding not only enhances the appearance of your teeth but also promotes good dental hygiene.

Who Could Benefit from Composite Bonding ?

Anyone who is unhappy with their smile could be a candidate for composite bonding This procedure is suitable for patients with minor dental issues like small cracks, discoloration, chips, or spaces between teeth. It provides a solution without the need for more extensive restorative procedures, involving no drilling or cutting of the tooth structure.

Achieve Your Dream Smile with Expert Dental Bonding

During the dental bonding process, a tooth-coloured resin is carefully applied to your teeth, allowing you to choose the desired shape and size. The material is meticulously polished, hardened, and sculpted to create a seamless, stunning smile transformation.

  • Enhances the appearance of teeth with uneven shapes
  • Repairs chipped, cracked, or damaged teeth
  • Reduces gaps between teeth for a more uniform smile
  • Improves the aesthetics of slightly crooked teeth
  • Creates a natural-looking result that blends with surrounding teeth
  • Uses durable and safe materials
  • Is reversible and adaptable if needed
  • Completed in a single visit for your convenience

Trust our experienced team to deliver a personalised composite bonding procedure that will enhance the overall aesthetics of your smile.

Composite Bonding or Veneers: Which Dentistry is Right for You?

To make an informed decision, it’s essential to understand the differences between composite bonding and porcelain veneers regarding stain resistance, durability, cost, and complexity. Our expert cosmetic dentists will provide personalised recommendations specifically to your needs.

  • Procedure Complexity: Porcelain veneers require a more involved dentistry treatment with multiple dental sessions, whereas composite bonding is a straightforward procedure that can be completed in a single visit.
  • Cost Considerations: Composite bonding is a more affordable option, as it requires only one session, unlike veneers.
  • Durability: Composite bonding typically lasts between 3 to 10 years with proper care, while porcelain veneers can last up to 20 years.
  • Stain Resistance: Both veneers and composite bonding offer strong resistance to stains, although composite bonding may gradually discolour over time.

Composite Bonding Price in Pakistan

Composite bonding or dental bonding price in pakistan varies depending on several key factors:

  • Location and Dentist Experience: Dentists in major cities like Karachi, Lahore, or Islamabad may charge higher fees than those in smaller towns.
  • Procedure Complexity: The extent of the required repair significantly affects the cost.
  • Amount of Bonding Material Used: The cost will depend on how much composite resin is needed.
  • Type of Composite Resin: The price can vary depending on the brand and quality of the resin used.
  • Anaesthesia Requirements: If local anaesthesia is necessary to numb the area during the procedure, there may be an additional cost.

© 2020. Cosmodent. All Rights Reserved.